纹眉的三大原则,纹眉前后对比图片【图文分析】
- 来源:半永久培训
- 发布:2020-03-10
- 阅读:1178
纹眉是把金属或植物颜料渗透皮肤底下,以永久性地保持眉毛的形状,纹眉会有三大原则,同时一起来了解下纹眉图片的前后对比照。
纹眉是把金属或植物颜料渗透皮肤底下,以永久性地保持眉毛的形状,纹眉会有三大原则,同时一起来了解下纹眉图片的前后对比照。

纹眉的三大原则
想要纹出适合自己好看、时尚的眉形,就要好好参照以下纹眉的三大原则。
原则一:纹眉前一定要结合自己的年龄、脸型、肤色来设计相应的眉形,别人好看的眉形不一定就是适合你的眉形,同时所纹的眉毛,宁浅勿深,宁短勿长,宁细勿粗!所纹的眉一定要讲究适合、适当!
原则二:选择纺眉材料的颜色要根据自己的肤色及头色的颜色,纹眉时先选择浅一些的颜色纹出整体的眉形,再用较深的颜色染料来纹眉形内部,如此看起来才会更自然。
原则三:在纹眉的过程中,对于眉毛的根部、眉尾部的密度可以相对疏些,让它更自然地渡过。
纹眉前后对比图片:
很多想知道纹眉效果究竟如何呢?相信这也是众多想要进行纹眉的妹纸所想知道的,下面看一组纹眉前后对比照吧:
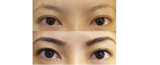
纹眉前后对比图片一:

可以看出纹眉后的对比还是相当明显,纹眉前显得眼光无神,而纹眉后显得很精神,她所选择的眉形也是较为适合自己脸型。
纹眉前后对比图片二:

未纹眉前眉毛淡、疏、乱,就是没有眉形,而纹眉后就显得五官都较为明显,也有萌萌的感觉。
纹眉前后对比图片三:

纹眉后变得好看了,也提高了自己的辨识度,只是纹眉的颜色没有选择好,显得有些不自然。
通过纹眉可以彻底改变整体的眉形,也让众多眉毛淡、疏的MM减少画眉的时间了。
免责声明:部分文章信息来源于网络以及网友投稿,本网站只负责对文章进行整理、排版、编辑,是出于传递 更多信息之目的,并不意味着赞同其观点或证实其内容的真实性,如本站文章和转稿涉及版权等问题,请作者在及时联系本站,我们会尽快处理。
